• <li id="iiiii"><tt id="iiiii"></tt></li>
    <li id="iiiii"></li>
  • <li id="iiiii"><table id="iiiii"></table></li>
    <li id="iiiii"></li>
    <tt id="iiiii"><table id="iiiii"></table></tt>
  • <li id="iiiii"></li>
  • <li id="iiiii"></li>
  • <tt id="iiiii"></tt>
    人民網
    人民網>>重慶頻道>>政務推廣

    重慶醫生“勇闖禁區” 創新術式守護學子高考夢

    2025年06月05日14:37 | 來源:人民網-重慶頻道
    小字號

    人民網重慶6月5日電 在醫學領域,前上縱隔頸胸交界處的巨大腫瘤被稱為“外科手術的禁區”。日前,重慶醫科大學附屬大學城醫院(以下簡稱“重醫附屬大學城醫院”)胸外科團隊“勇闖禁區”,用創新手術方式為一位高三學生完成了一場生命保衛戰。

    17歲少年的“生命警報”

    17歲的林杰(化名)是重慶一所重點中學的高三學生,因為持續胸痛一個月輾轉重慶多家醫院就診。由于傳統影像學及多次CT引導穿刺都未能明確腫瘤性質,且腫瘤異常血供與重要血管形成致密粘連、包繞,手術風險極高。多家醫院給出了“無法手術”結論,讓這個即將高考的少年陷入絕望。

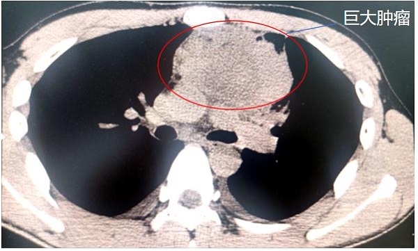
    最終,在家人的陪伴下,林杰來到重醫附屬大學城醫院就診。CT檢查結果顯示,林杰的上縱隔頸胸交界處盤踞著直徑達10厘米的腫瘤,如同成年男性拳頭大小,并且緊貼心臟、主動脈弓分支及無名靜脈。

    前上縱隔頸胸交界處巨大腫瘤。重醫附屬大學城醫院供圖

    前上縱隔頸胸交界處巨大腫瘤。重醫附屬大學城醫院供圖

    多學科會診破譯“生命密碼”

    在重醫附屬大學城醫院胸外科辦公室,胸外科、影像科、麻醉科等專家對患者胸部CT及三維重建圖像展開激烈討論?!澳[瘤已包繞左無名靜脈”“前縱隔狹小空間操作風險極高”……種種跡象表明要順利完成這場手術并非易事,但看著患者年輕的面龐,治療團隊達成共識:必須挑戰手術禁區!

    重醫附屬大學城醫院胸外科主任譚群友提出創新方案:“手術機器人輔助+胸骨部分劈開+分塊切除”三聯合術式。該方案將利用達芬奇機器人540度靈活機械臂優勢處理深部血管,并通過部分胸骨劈開建立操作通道,同時分塊切除降低大出血風險。

    機器人手術臺前的“毫米級博弈”

    手術當天,達芬奇機器人機械臂探入患者胸腔,在狹小的操作空間內,主刀醫生譚群友在3D高清視野輔助下,將腫瘤滋養血管逐一凝閉。當處理至主動脈弓分支時,血氧監測突然波動,機械臂立即暫停,團隊迅速調整角度,以0.3毫米的精準度完成血管剝離。

    歷時5小時,分布在林杰前上縱隔頸胸交界處的巨大腫瘤被分塊取出。術后CT顯示,患者重要血管毫發無損,胸骨僅部分切開,最大程度保留了患者胸廓完整性。

    據介紹,“手術機器人輔助+胸骨部分劈開+分塊切除”三聯合術式使用機器人手術系統,突破人類手腕極限,在如核桃般大小的操作空間完成血管處理。同時改良部分胸骨劈開方式,減少胸骨創傷。這使得患者術后疼痛感更少,恢復更快。另外,由于在分塊切除腫瘤前預先處理了異常血供,因此,此次手術術中出血量控制在了100ml以內。

    術后,主刀醫生譚群友介紹:“在過去,這一位置的巨大腫瘤往往需要開胸或全胸骨劈開,切口30cm左右。而現在我們僅用3個1cm小孔就順利完成了手術?!?/p>

    出院后,林杰為治療團隊送來感謝錦旗。重醫附屬大學城醫院供圖

    出院后,林杰為治療團隊送來感謝錦旗。重醫附屬大學城醫院供圖

    專家提醒:青少年胸痛莫忽視

    “不少縱隔腫瘤患者是通過體檢發現病情的。若出現持續胸痛、胸悶或呼吸困難等癥狀,應及時就醫并進行CT檢查,以便盡早發現縱隔腫瘤?!弊T群友指出,前上縱隔腫瘤早期多無癥狀,但生長至5cm以上會壓迫氣管、血管等重要器官,出現不同程度的癥狀。他建議,公眾每年體檢時可增加低劑量胸部CT檢查,特別是生長迅速的青少年群體更應提高警惕。

    術后第7天,林杰已能在病房溫書備考。當被問及理想院校時,他笑著說:“我想報考醫學院?!边@場生命“禁區”的破局之戰不僅將少年從“死神”手中奪回,更在他握筆備考的手掌中,悄然播下了一顆握手術刀治病救人的夢想種子。(胡虹、施懿、陶紹霖)

    (責編:秦潔、劉政寧)

    分享讓更多人看到

    本網專稿
    生態環境部發布《2024中國生態環境狀況公報》
      人民網重慶6月5日電 (劉政寧、周小平)5日,2025年六五環境日國家主場活動在重慶舉辦。會上,生態環境部發布《2024中國生態環境狀況公報》?!?/a>
    重慶:國產帶壓作業設備助力氣田增氣降本
      人民網重慶6月4日電 “目前,我們研發的國產化防頂回式堵塞器已在焦頁69-S4HF、焦頁68-Z2HF、焦頁1HF等7口氣井的帶壓作業中成功應用?!?月4日,涪陵頁巖氣公司油田采油氣技術專家鄭瑞波介紹,該堵塞器可取代進口陶瓷破裂盤,進一步提高了工藝優化針對性,提升了施工井控安全性,平均單井減少工具費用1.5萬元?!?/a>
    2025年高中考期間 重慶這些時段和水域禁鳴禁航
      人民網重慶6月4日電 (陳琦、劉敏)為給考生創造“安全、安靜、舒適、良好”的考試環境,重慶交通執法總隊港航海事支隊發布2025年高中考水上交通禁鳴禁航管制措施:2025年高、中考期間,該支隊將對嘉陵江草鞋沱至三角壩航段、嘉陵江雞公嘴至大沱口航段實施臨時水上交通禁鳴禁航管制,對嘉陵江黃花園大橋至大竹林航段實施臨時水上交通禁鳴管制。 禁鳴時段為,高考期間6月7日9:00至11:00,15:00至17:00;6月8日9:00時至10:15,15:00時至17:00;6月9日8:30至9:45時,11:00至12:15,14:30至15:45,17:00至18:15?!?/a>
    返回頂部
    黄色网站久久直接看