• <li id="iiiii"><tt id="iiiii"></tt></li>
    <li id="iiiii"></li>
  • <li id="iiiii"><table id="iiiii"></table></li>
    <li id="iiiii"></li>
    <tt id="iiiii"><table id="iiiii"></table></tt>
  • <li id="iiiii"></li>
  • <li id="iiiii"></li>
  • <tt id="iiiii"></tt>
    人民網
    人民網>>重慶頻道>>健康>>要聞

    吃點東西就胸悶氣短!七旬老人的胃竟“挪”了個地方

    2021年08月20日22:06 | 來源:人民網-重慶頻道
    小字號

      
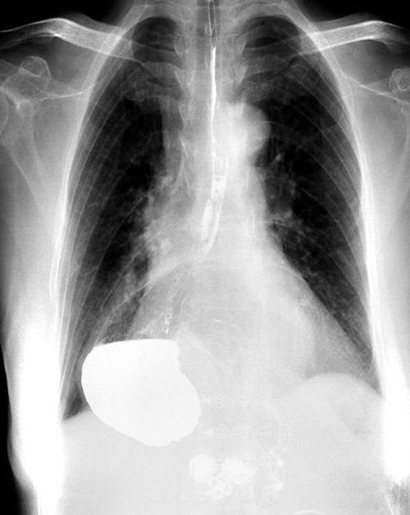
    術前胃“游走”到胸腔。重慶市人民醫院供圖

           人民網重慶8月20日電 近日,年近7旬的王婆婆(化名)稍進食即感覺胸部及上腹部脹悶,稍活動就感覺氣短。這種情況嚴重困擾了王婆婆,甚至以為自己得了重病。王婆婆在家人的陪同下到中國科學院大學重慶醫院(重慶市人民醫院)就醫。

      接診的胸外科副主任醫師馬洪飚經過詳細詢問及完善相關檢查,發現王婆婆所患的疾病叫“食管裂孔疝”,由此造成了胃的“離家出走”,有一部分跑到了胸腔里面,才會出現上述不適。

      馬洪飚醫生告訴王婆婆及家人,食管裂孔疝雖是一種良性疾病,但可嚴重影響人們的生活,甚至危及生命,需要盡快進行手術治療。

      王婆婆畢竟年紀較大,對手術有所擔憂。醫患雙方進行了充分溝通,王婆婆及家人得知該手術是微創的,不僅創傷小,而且恢復快、療效確切,就打消了顧慮。

      在完善術前準備后,胸外科主任馬錚帶領馬洪飚副主任醫師、張兵兵主治醫師通過微創手術不僅將王婆婆游走到胸腔的胃還納到了腹腔,還修補了拳頭大小的食管裂孔,以防止胃再次離家出走。手術后王婆婆恢復順利,術前的不適癥狀消失,目前已經順利出院。

      王婆婆出院時笑著說:“感謝醫護人員,我又可以盡情地享用美食和生活了!

      科普時間:什么是食管裂孔疝?

      馬洪飚醫生介紹:人的胸腔和腹腔通過膈。ㄒ粔K完整而扁平的肌肉)分隔開來,食管的下端通過膈肌上的天然裂孔進入腹腔同胃相連,這個天然的裂孔就叫食管裂孔,它的大小只能容納食管(大拇指大。┩ㄟ^,然而有些人因為先天因素(如膈肌纖維發育不良)或后天因素(肥胖、長期咳嗽、便秘等引起腹腔內壓力升高)導致食管裂孔明顯擴大,食管下端、胃、腸等腹腔內臟器就會通過擴大的食管裂孔疝入胸腔,從而使病人出現進食易飽、反酸、燒心、胸骨后疼痛、吞咽困難、活動后氣短等不適,甚至出現消化道出血、穿孔等并發癥,嚴重時可危及生命。(陳琦、張勤)

    (責編:陳琦、張祎)

    分享讓更多人看到

    返回頂部
    黄色网站久久直接看