• <li id="iiiii"><tt id="iiiii"></tt></li>
    <li id="iiiii"></li>
  • <li id="iiiii"><table id="iiiii"></table></li>
    <li id="iiiii"></li>
    <tt id="iiiii"><table id="iiiii"></table></tt>
  • <li id="iiiii"></li>
  • <li id="iiiii"></li>
  • <tt id="iiiii"></tt>

    嚴重腎積水險失去腎臟 市六院成功"拆彈"保腎

    2021年01月26日08:54  來源:華龍網
     

      “很多醫生都認為保不住的腎臟,我們不僅保住了,且患者的腎功能也在逐步恢復!苯,重慶醫藥高專附一院(市職防院 市六院)泌尿外科主任靳文生回憶起幾天前經歷的那場手術時,內心的自豪感油然而生。

      她是不幸的,但也是幸運的

      32歲的張琴(化名)來自四川達州,前段時間她察覺身體有些異常,去醫院初步檢查發現腎臟可能有囊腫,焦急的她往返了好幾家醫院,最終確診為右側腎臟嚴重積水。雖然積水的原因尚不明確,但好幾位醫生都表示,右腎積水導致腎臟功能基本喪失,只能切掉右側腎臟。

      張琴猶豫了,她還年紀輕輕,難道以后只能靠一個腎生活?她內心既痛苦又掙扎,多方找尋其他辦法。最終在朋友的介紹下,來到重慶醫藥高專附一院泌尿外科,打算做最后一次嘗試。了解患者情況后,科室醫生為她拍了CT,并做了輸尿管逆行造影,檢查結果顯示,張琴的腎積水已到了非常嚴重的地步,右側輸尿管狹窄部位在骼血管附近,并非常見的腎盂輸尿管連接部的狹窄(UPJO)。仔細詢問病史發現,張琴五年前曾做過剖宮產手術,半年前又做了一次卵巢囊腫手術。結合手術史與影像學檢查結果,考慮右側輸尿管狹窄與手術粘連有關,如果粘連嚴重,再次手術將會困難重重。

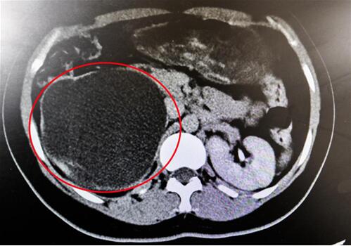
    紅圈部分為手術前腎積水情況。院方供圖

      “腎臟就像是一個皮球,因輸尿管完全閉鎖,里面的積水無法排出、越積越多,已經把表皮撐得很薄,在造影下甚至都看不清邊緣了!苯纳魅握f,“由于之前手術的粘連嚴重,手術難度頗大,腎臟能否保住是個未知數!

      如果少一個腎臟,另一個腎臟的負荷必然增加,這不僅會影響腎功能,甚至會導致腎炎、腎病等病理性的改變!氨W』颊叩哪I臟是我們首選的治療目標,其次也做好了切腎的準備!苯纳魅伪硎。

      幾次差點放棄 終于在4小時后找到輸尿管

      在靳文生主任的領導下,由他本人與科室黃云生醫師、唐流彪醫師組成的手術小組,在護士和麻醉師的配合下,開始了一場在別人眼中不可能完成的“保腎”手術。

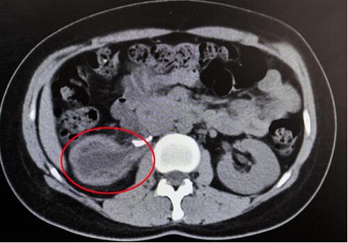
    紅圈部分為手術后腎臟輪廓逐漸清晰。院方供圖

      手術原理并不復雜,找到并切掉閉鎖的輸尿管,再將健康的輸尿管重新接起來即可,但看似簡單,做起來卻并不容易。首先使用輸尿管鏡給患者檢查,醫生發現輸尿管鏡前進10cm左右無法繼續上行,此處的輸尿管已經完全閉鎖了。于是醫生在患者右下腹部切開一個5公分的切口,逐層揭開進入腹膜后間隙,開始尋找閉鎖的輸尿管。

      “但因為患者周圍組織粘連嚴重,輸尿管界限不清,僅僅是尋找輸尿管,我們就差不多花了4個小時!苯纳魅伪硎,整臺手術花了近6個小時,大部分的時間都花在了尋找輸尿管這個過程中,“‘拆除’閉鎖的輸尿管這顆‘炸彈’是保腎的唯一方法,如果輸尿管接不通,這個腎臟將難逃被切除的命運!苯纳魅握f,因而,即使多次想要放棄,他們依然互相鼓勵“再咬咬牙,再試一次”。

      終于,功夫不負有心人,他們在粘連嚴重的腹膜外組織中找到了輸尿管!當時,靳文生主任心里緊繃的一根弦終于松了下來,接下來的手術過程也變得順暢了。

      “雖然耗費了很多時間,但好在結局非常成功!苯纳魅握f,能為患者保住腎臟,花費再多時間也覺得值得。

      腎積水需及時處理 沒有癥狀不代表健康

      據張琴描述,其實此前她并沒有感覺到明顯的癥狀!耙舱虬Y狀不明顯,患者才會慢慢將病拖到如此嚴重的地步!眳⑴c此次手術的唐流彪醫師表示,腎積水如果不及時處理,拖到最后只能切除腎臟,因此,日常生活中我們應該定期體檢,做到有問題早發現、早治療。

      “劫后余生”的張琴,帶著對泌尿外科醫護團隊的感激與謝意,于術后一周后順利出院。據靳文生介紹,張琴出院時右側腎臟功能已經在逐步恢復中,他們也會定期回訪,隨時保持溝通聯系,并囑咐患者半年后到院復查。

      靳文生主任表示,泌尿外科以微創手術治療為特色,能熟練開展泌尿外科腔道及腹腔鏡手術,建科近4年來,順利治療康復出院的患者數不勝數!跋M覀兡芤跃康募夹g和貼心的服務,給更多的患者帶來健康!”(文/王鳳)

    (責編:秦潔、張祎)

    本網專稿

    汽車行駛在重慶市黔江區中塘鎮雙石村的“掛壁公路”上。楊敏攝汽車行駛在重慶市黔江區中塘鎮雙石村的“掛壁公路”上。楊敏攝 重慶黔江:“掛壁公路”助力鄉村振興  近年來,黔江區加大“四好農村路”建設力度,在峽谷、溝壑、懸崖、絕壁上修建了一條條“掛壁路”“盤山路”!【詳細】

    原創

    村民在重慶市墊江縣沙坪鎮畢橋村高標準農田水稻基地用農機收割水稻。龔長浩攝村民在重慶市墊江縣沙坪鎮畢橋村高標準農田水稻基地用農機收割水稻。龔長浩攝 重慶墊江:農機助秋收  立秋后,重慶市墊江縣45萬畝水稻相繼成熟,稻田到處可見收割機搶收糧食的場景!【詳細】

    原創

    川渝滇黔藏“跨省通辦”服務專區上線  人民網重慶8月20日電 (劉政寧、周小平)20日,由川渝滇黔藏西南五省區市聯袂打造的“跨省通辦”服務專區正式上線,將為企業群眾提供更加便利的異地辦事服務。 據了解,新上線的“跨省通辦”服務專區是為貫徹落實2021年國務院《政府工…【詳細】

    原創

    頭圖推薦

    • 智能產業集聚發展智能產業集聚發展
    • 9支車隊角逐“最強車腦” 5支車隊虛擬世界“過招”9支車隊角逐“最強車腦” 5支...
    • “掛壁公路”助力鄉村振興“掛壁公路”助力鄉村振興
    • 重慶墊江:農機助秋收重慶墊江:農機助秋收
    • 重慶奧的斯的“智博效應” 工人減兩成 產能翻一番重慶奧的斯的“智博效應” 工人...
    • 智慧社區 為市民生活增添便利與驚喜智慧社區 為市民生活增添便利與...

    圖片新聞

    • 重慶黔江:“掛壁公路”助力鄉村振興重慶黔江:“掛壁...
    • 先睹為快 智博會上有這些“黑科技”先睹為快 智博會...
    • 重慶力爭年內推廣應用新能源汽車1萬輛以上重慶力爭年內推廣...
    • 花溪街道自制車貼 倡導文明駕駛花溪街道自制車貼...
    • 銅梁:蓮藕產業連成線 鄉村富起“一大片”銅梁:蓮藕產業連...
    • 劉寒同:17年堅守漁政執法崗 守好母親河劉寒同:17年堅...
    • 萬開云同城化發展駛入“快車道”萬開云同城化發展...
    • 唐貞觀時期墊江縣令王才墓志銘被發現唐貞觀時期墊江縣...
    黄色网站久久直接看